January 2026
Monthly Archives
More stories
-
Glixens Medicine Bow Marks a Monumental Year
Uncovering the Hidden Layers of Online Verification in Modern Healthcare The digital arena is full of little twists and turns, and when it comes to online security, every subtle detail matters. With the increasing crossroad between technology and healthcare, verifying that our digital connections are secure is more than just a precaution—it’s a critical measure […] More
-
Chronic Hepatitis C Emerges as a Hidden Catalyst for Deadly Cancer
Chronic Hepatitis C and Pancreatic Cancer: Uncovering the Hidden Links The debate about the tricky parts of modern medicine never seems to rest. Recent research has thrown a spotlight on chronic hepatitis C (HCV) and its connection to pancreatic ductal adenocarcinoma (PDAC). While this study looked specifically at a large group of U.S. veterans, it […] More
-
Unexpected spread of prostate cancer to the anterior urethra from minimal PSA elevation
Enhancing Trust in Healthcare Websites Through Digital Security In today’s rapidly evolving digital landscape, online healthcare portals have become a cornerstone for patients seeking reliable medical information, guidance, and even treatment options. However, the journey from browsing to trusting these online spaces can be filled with tricky parts and confusing bits. Ensuring that every visitor […] More
-
Innovative CAR T Therapy Offers Renewed Hope for Cancer Patients
Innovative Cell Engineering Treatments: A New Era in Cancer Management The advent of CAR-T therapy has marked a revolutionary shift in cancer treatment—a true breakthrough where modern medicine meets personalized gene therapy. As an evolving technique rooted in over three decades of research, CAR-T (chimeric antigen receptor T-cell) therapy now offers patients a chance to […] More
-
Exploring the Global Media Landscape BBC Trump Journalism and the Diversity Challenge
The BBC Editing Scandal: A Turning Point in Modern Journalism The controversy that erupted in 2025 over the BBC’s editing of Donald Trump’s January 6 speech has created a significant ripple across global media circles. When internal documents revealed that the Panorama programme had stitched together two separate segments of the former president’s address – […] More
-
Innovative Synthesis of Selanyl Phenyl Compounds through Fragment Merging Approach
The Convergence of Online Verification and Healthcare Security At first glance, the message “Verifying you are human. This may take a few seconds. Verification successful” might seem like a standard checkpoint used on many websites. However, beneath these seemingly routine words lies a layered story of cybersecurity that has become particularly important in the realm […] More
-
ESMO 2025 Head and Neck Cancer Breakthroughs and Emerging Treatment Trends
Balancing Website Security and Access to Trusted Healthcare Information In today’s digital era, accessing valuable healthcare resources online is as essential as it is challenging. There are times when attempts to reach trusted websites, including those providing the latest insights on modern medicine, alternative medicine, nutrition, disease conditions, and fitness, are unexpectedly interrupted by security […] More
-
Celebrating the Compassionate Support of Cancer Nurse Navigators
Reflecting on the Impact of Compassionate Care in Cancer Treatment The journey through a cancer diagnosis is filled with many tricky parts, tangled issues, and moments when one feels overwhelmed by the twists and turns in treatment. As someone who has witnessed these challenges firsthand, I am compelled to share my thoughts on the critical […] More
-
Exploring Acupuncture Benefits For Autism Through Target Trial Emulation
Introduction The integration of modern methodologies and traditional practices in healthcare is an evolving topic that continues to gain traction. Recently, the application of target trial emulation (TTE) to evaluate acupuncture combined with rehabilitation therapy for children with autism spectrum disorder (ASD) has sparked considerable discussion. This editorial offers an opinion on this emerging research […] More
-
11 Views
Legislators Weigh Alternative Approaches to Funding High Cost Medications
Examining the High-Cost Drug Funding Debate: An Opinion Editorial State legislators across the nation are currently embroiled in a heated discussion regarding the use of alternative funding programs for prescription drug benefits. These programs are designed to help manage the steep costs of expensive medications. However, they come with their own set of tricky parts, […] More
-
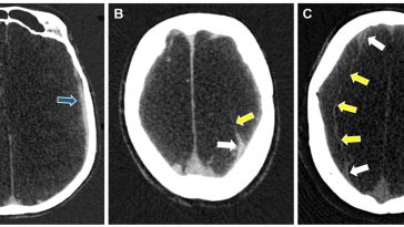
Revolutionizing Chronic Subdural Hematoma Care Through Advanced Diagnostics and Treatment
Chronic Subdural Hematoma: A Shifting Landscape in Neurosurgical Care The management of chronic subdural hematoma (CSDH) has been a topic of heated discussion in the healthcare community for many years. With an annual incidence that ranges from 1.7 to 20.6 per 100,000 people—and climbing due to an aging global population and increasing use of anticoagulant […] More
-
Emerging Breakthroughs in Prostate Cancer Care with PSMA Theranostics and PARP Inhibitors
Online Security in Modern Healthcare: More Than Just a Verification Process In today’s digital age, healthcare platforms have become a central hub for patients, professionals, and researchers alike. As more people rely on online systems for medical consultations, health records, and research updates, the importance of robust cybersecurity measures grows every day. One of the […] More











